Często zdarza się, że podczas rutynowych badań krwi, takich jak morfologia, natrafiamy na wyniki, które odbiegają od normy. Jednym z parametrów, który może wzbudzić nasze zainteresowanie, są monocyty. Ten artykuł ma na celu wyjaśnić, czym są monocyty, jakie są ich prawidłowe wartości w badaniu krwi oraz co oznaczają odchylenia – zarówno te przejściowe, jak i te wymagające konsultacji lekarskiej. Dowiesz się, kiedy podwyższony lub obniżony poziom monocytów jest powodem do niepokoju, a kiedy wystarczy obserwacja. Moim celem jest dostarczenie jasnych i precyzyjnych informacji, które pomogą Ci zrozumieć swój wynik i podjąć świadome decyzje dotyczące dalszych kroków.
Monocyty w morfologii: kiedy obserwować, kiedy działać
- Monocyty to białe krwinki kluczowe dla odporności, ich liczba bezwzględna jest ważniejsza niż procent.
- Normy monocytów to zazwyczaj 0,2-0,8 x10^9/l, ale zawsze sprawdzaj zakresy laboratoryjne.
- Podwyższone monocyty często wskazują na infekcję, stan zapalny lub okres rekonwalescencji.
- Niski poziom monocytów (monocytopenia) jest rzadszy i może świadczyć o poważniejszych problemach.
- Alarmujące objawy to m.in. gorączka, chudnięcie, nocne poty, powiększone węzły chłonne.
- Morfologia nie diagnozuje stresu, ale stres może wpływać na wyniki krwi.

Czym są monocyty i jak prawidłowo czytać wynik morfologii
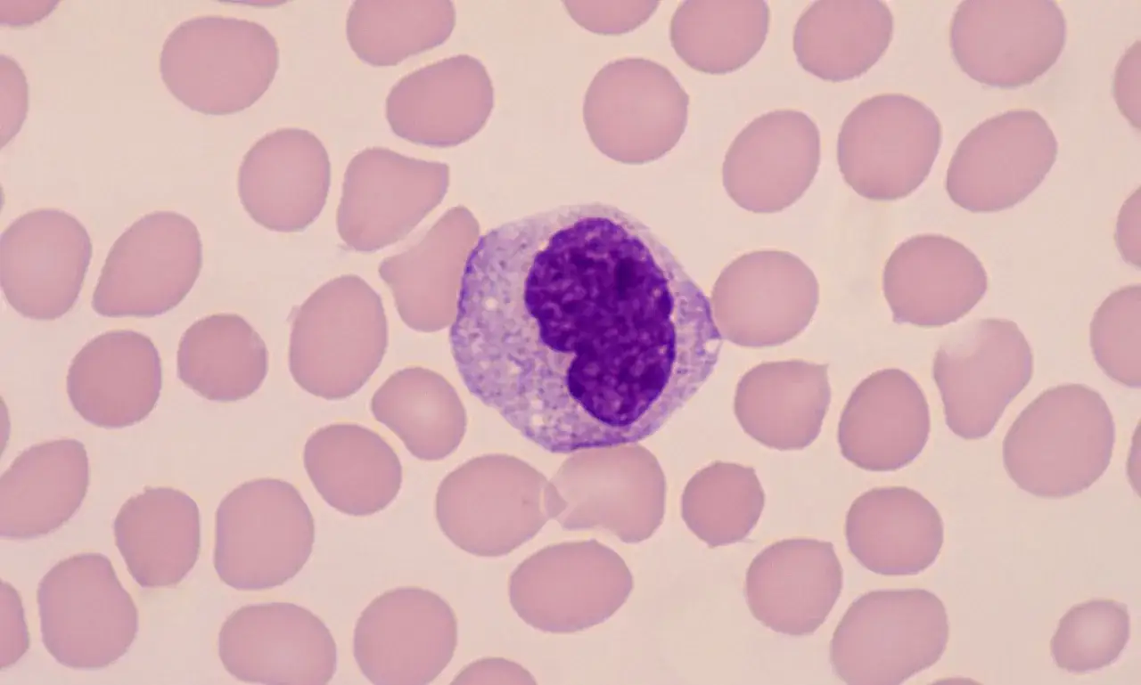
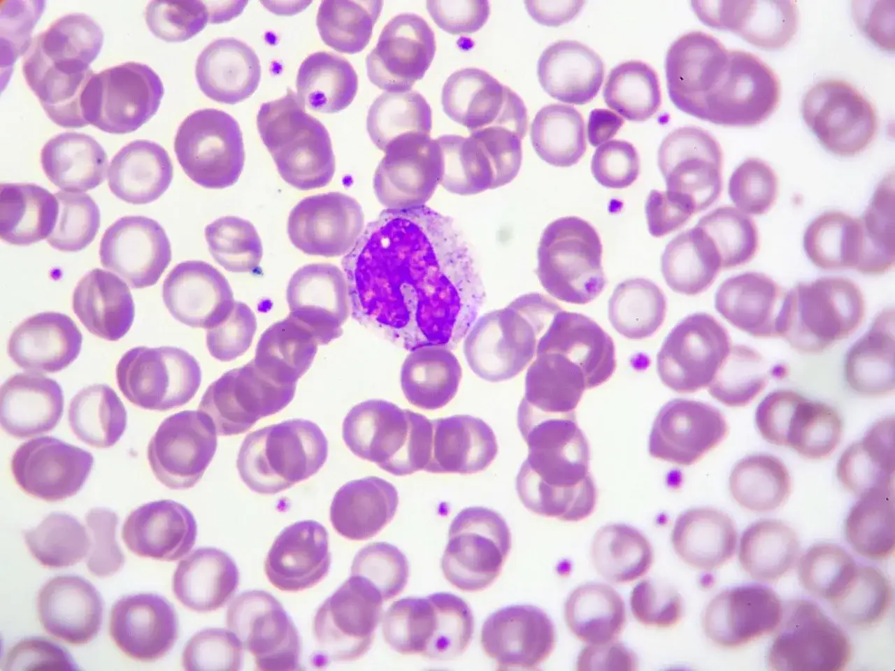
Monocyty to rodzaj białych krwinek (leukocytów), które odgrywają kluczową rolę w układzie odpornościowym. Są to największe komórki krwi obwodowej, które po opuszczeniu krwiobiegu przekształcają się w makrofagi – potężne komórki "żerne". Ich głównym zadaniem jest "sprzątanie" martwych komórek, resztek tkankowych oraz patogenów, a także prezentowanie antygenów limfocytom, inicjując w ten sposób specyficzną odpowiedź immunologiczną. Uczestniczą w zwalczaniu infekcji bakteryjnych, wirusowych, grzybiczych i pasożytniczych, a także w procesach zapalnych i regeneracji tkanek. Zrozumienie ich funkcji jest kluczowe do interpretacji wyników badań.
Dlaczego w wyniku trzeba patrzeć na liczbę bezwzględną, a nie tylko na procent
Podczas analizy wyników morfologii krwi, w kontekście monocytów, niezwykle ważne jest zwracanie uwagi na ich liczbę bezwzględną (np. wyrażoną w x10^9/l), a nie tylko na odsetek (procent) wszystkich leukocytów. Odsetek monocytów może być pozornie wysoki lub niski, jeśli zmieniła się liczba innych typów białych krwinek, na przykład neutrofili czy limfocytów. Przykładowo, spadek liczby neutrofili może sprawić, że odsetek monocytów wzrośnie, nawet jeśli ich bezwzględna liczba pozostanie w normie. Liczba bezwzględna daje precyzyjniejszy obraz rzeczywistej ilości tych komórek w organizmie i jest znacznie bardziej miarodajna w ocenie stanu zdrowia.
Jakie wartości referencyjne są najczęściej spotykane u dorosłych
Prawidłowe wartości monocytów mogą nieznacznie różnić się w zależności od laboratorium, dlatego zawsze należy odnosić się do zakresów referencyjnych podanych na wydruku wyników. Jest to niezwykle ważne, ponieważ każde laboratorium ma swoje własne metody i aparaturę, co może wpływać na normy. Jednakże, na kwiecień 2026, u dorosłych najczęściej przyjmuje się następujące normy:
| Parametr | Wartość referencyjna | Uwagi |
|---|---|---|
| Monocyty (liczba bezwzględna) | 0,2-0,8 x10^9/l (czasem do 1,0 x10^9/l) | Preferowana wartość do interpretacji. Wartości powyżej 1,0 x10^9/l mogą wymagać dalszej uwagi. |
| Monocyty (odsetek) | 2-8% leukocytów | Wartość pomocnicza, mniej precyzyjna niż liczba bezwzględna. |
Pamiętaj, że te wartości są ogólnymi wytycznymi. Zawsze konsultuj się z lekarzem, aby uzyskać indywidualną interpretację Twoich wyników.
Podwyższone monocyty (monocytoza): co może oznaczać i kiedy warto się przyjrzeć
Podwyższony poziom monocytów, czyli monocytoza, jest dość częstym zjawiskiem i zazwyczaj świadczy o aktywności układu odpornościowego. Monocyty są mobilizowane do działania w odpowiedzi na różne bodźce, co często jest naturalną reakcją obronną organizmu. Nie zawsze jest to powód do niepokoju, ale zawsze warto zrozumieć potencjalne przyczyny.
Najczęstsze przyczyny przejściowe i łagodne
Większość przypadków monocytozy ma charakter przejściowy i jest związana z:
- Infekcjami: Zarówno bakteryjnymi (np. gruźlica, zapalenie wsierdzia), wirusowymi (np. mononukleoza, odra, ospa wietrzna), grzybiczymi, jak i pasożytniczymi. Monocyty są kluczowe w walce z tymi patogenami.
- Stanami zapalnymi: Przewlekłe choroby zapalne, takie jak reumatoidalne zapalenie stawów, choroba Leśniowskiego-Crohna czy wrzodziejące zapalenie jelita grubego, mogą prowadzić do podwyższonego poziomu monocytów.
- Okresem rekonwalescencji: Po przebytych infekcjach czy urazach, organizm intensywnie "sprząta" i regeneruje tkanki, co wymaga zwiększonej aktywności monocytów.
- Niektórymi lekami: Szczególnie glikokortykosteroidy (sterydy) mogą wpływać na liczbę monocytów, choć ich działanie może być złożone i zależeć od dawki oraz czasu stosowania.
W tych sytuacjach monocytoza jest zazwyczaj odwracalna i ustępuje wraz z ustąpieniem przyczyny.
Stres, ciąża i inne czynniki życiowe
Nie tylko choroby wpływają na poziom monocytów. Istnieją również czynniki życiowe, które mogą modyfikować ich liczbę:
- Stres: Zarówno ostry, jak i przewlekły stres może wpływać na liczbę monocytów oraz ich aktywność. Długotrwały stres wiąże się z zaburzoną sygnalizacją glikokortykoidową i bardziej prozapalnym profilem monocytów, co oznacza, że mogą one być bardziej aktywne w wywoływaniu stanów zapalnych. Ważne jest jednak, aby pamiętać, że morfologia krwi nie jest testem diagnostycznym na stres. Jest to jedynie wskaźnik, który może odzwierciedlać wpływ stresu na organizm.
- Ciąża: W okresie ciąży naturalnie dochodzi do zmian w układzie odpornościowym, co może objawiać się nieznacznym podwyższeniem poziomu monocytów.
- Palenie tytoniu i spożywanie alkoholu: Te używki mogą wywoływać przewlekły stan zapalny w organizmie, co z kolei może prowadzić do wzrostu liczby monocytów.
- Urazy: Po poważnych urazach, operacjach czy oparzeniach, organizm reaguje stanem zapalnym i procesami naprawczymi, w których monocyty odgrywają kluczową rolę.
Zawsze warto poinformować lekarza o wszystkich czynnikach, które mogą wpływać na Twój organizm, aby mógł on kompleksowo zinterpretować wyniki badań.
Obniżone monocyty (monocytopenia): rzadsza, ale czasem bardziej niepokojąca
Obniżony poziom monocytów, czyli monocytopenia, jest znacznie rzadszym zjawiskiem niż monocytoza. Choć nie zawsze świadczy o poważnym problemie, w niektórych przypadkach może być sygnałem ostrzegawczym i wymagać dokładniejszej diagnostyki. Niska liczba tych ważnych komórek odpornościowych może osłabiać zdolność organizmu do walki z infekcjami i usuwania uszkodzonych tkanek.
Potencjalne przyczyny niskiego poziomu monocytów
Monocytopenia może być spowodowana przez szereg czynników, w tym:
- Supresja szpiku kostnego: Leczenie chemioterapią, radioterapią, a także niektóre choroby szpiku kostnego, takie jak anemia aplastyczna, mogą prowadzić do zmniejszonej produkcji wszystkich komórek krwi, w tym monocytów.
- Ostre infekcje: Paradoksalnie, w początkowej fazie bardzo ostrych infekcji, monocyty mogą być "zużywane" szybciej niż produkowane, co prowadzi do przejściowego spadku ich liczby we krwi obwodowej.
- Niektóre choroby autoimmunologiczne: W rzadkich przypadkach, niektóre choroby autoimmunologiczne mogą wpływać na produkcję lub przeżywalność monocytów.
- Leczenie glikokortykosteroidami: Chociaż sterydy mogą podnosić monocyty w niektórych sytuacjach, w innych, szczególnie w wysokich dawkach, mogą prowadzić do ich obniżenia poprzez redystrybucję komórek.
- Wrodzone niedobory odporności: Bardzo rzadko, monocytopenia może być objawem wrodzonych zaburzeń układu odpornościowego.
Jeśli Twój wynik wskazuje na monocytopenię, a zwłaszcza jeśli towarzyszą jej inne nieprawidłowości w morfologii lub niepokojące objawy, koniecznie skonsultuj się z lekarzem. Wczesna diagnoza jest kluczowa.
Kiedy należy się martwić i skonsultować z lekarzem? Alarmujące sygnały
Interpretacja wyników badań krwi zawsze powinna odbywać się w kontekście ogólnego stanu zdrowia pacjenta, jego objawów i historii medycznej. Chociaż niewielkie odchylenia w poziomie monocytów często nie są powodem do paniki, istnieją pewne sytuacje, które powinny wzbudzić Twoją czujność i skłonić do wizyty u specjalisty. Moim zdaniem, kluczem jest ocena, czy odchylenie jest izolowane, czy też towarzyszą mu inne niepokojące sygnały.
Progi bezwzględnej liczby monocytów, które wymagają uwagi
Zwróć uwagę na następujące wartości, które mogą wskazywać na potrzebę dalszej diagnostyki:
- Utrwalona, niewyjaśniona monocytoza: Jeśli bezwzględna liczba monocytów przekracza 1,0 x10^9/l i nie ma oczywistej przyczyny (np. infekcji, rekonwalescencji), a zwłaszcza gdy utrzymuje się w kolejnych badaniach, warto to skonsultować.
- Znacząco podwyższone monocyty: Wartości przekraczające 1,5-2,0 x10^9/l, zwłaszcza bez jasnej przyczyny, zawsze wymagają pilnej oceny lekarskiej. Mogą one świadczyć o bardziej złożonych problemach, w tym hematologicznych.
-
Niskie monocyty (monocytopenia): Poziom poniżej 0,2 x10^9/l jest bardziej niepokojący, jeśli:
- Współistnieje z innymi cytopeniami (niedoborami innych rodzajów komórek krwi, np. neutropenią, anemią).
- Pacjent doświadcza nawracających, ciężkich infekcji.
- Pacjent jest w trakcie leczenia immunosupresyjnego.
Pamiętaj, że pojedynczy wynik poza normą nie zawsze oznacza chorobę, ale jego kontekst jest niezwykle ważny.
Objawy towarzyszące, które powinny wzbudzić niepokój
Oprócz samych wyników badań, kluczowe są objawy kliniczne. Jeśli nieprawidłowym poziomom monocytów towarzyszą którekolwiek z poniższych sygnałów, niezwłocznie skonsultuj się z lekarzem:
- Gorączka o nieznanej przyczynie: Długotrwała lub nawracająca gorączka bez wyraźnego źródła infekcji.
- Niewyjaśnione chudnięcie: Utrata masy ciała bez świadomej zmiany diety czy aktywności fizycznej.
- Nocne poty: Obfite poty w nocy, niezwiązane z wysoką temperaturą otoczenia.
- Powiększone węzły chłonne: Utrzymujące się powiększenie węzłów chłonnych, szczególnie w kilku miejscach ciała.
- Łatwe siniaczenie lub krwawienia: Pojawianie się siniaków bez urazu lub przedłużające się krwawienia.
- Wyraźne osłabienie i przewlekłe zmęczenie: Uczucie wyczerpania, które nie ustępuje po odpoczynku.
- Obecność blastów w rozmazie krwi: Blasty to niedojrzałe komórki, których obecność w krwi obwodowej jest zawsze sygnałem alarmowym.
- Bardzo wysokie WBC (całkowita liczba białych krwinek): Ekstremalnie wysoka liczba leukocytów, zwłaszcza z dominacją monocytów, wymaga natychmiastowej diagnostyki.
Te objawy, w połączeniu z nieprawidłowymi wynikami monocytów, mogą wskazywać na poważniejsze schorzenia, takie jak choroby hematologiczne (np. białaczki, zespoły mielodysplastyczne) czy przewlekłe infekcje, i wymagają szybkiej interwencji medycznej.
Co dalej po otrzymaniu nieprawidłowego wyniku?
Otrzymanie wyniku, który odbiega od normy, może być stresujące. Chcę Cię jednak uspokoić – w wielu przypadkach niewielkie odchylenia są przejściowe i nie świadczą o poważnej chorobie. Ważne jest, aby zachować spokój i podjąć odpowiednie, przemyślane kroki. Zawsze pamiętaj, że to lekarz jest osobą najlepiej przygotowaną do interpretacji Twoich wyników w kontekście pełnego obrazu klinicznego.
Przeczytaj również: Mrowienie i drętwienie kończyn - Lęk czy pilna diagnostyka?
Zalecane kroki – od obserwacji do dalszej diagnostyki
Oto, co zazwyczaj rekomenduję w zależności od sytuacji:
- Spokojna obserwacja i powtórzenie badania: Jeśli odchylenie jest niewielkie, nie towarzyszą mu żadne niepokojące objawy, a Ty niedawno przebyłeś infekcję, byłeś pod wpływem stresu lub przyjmowałeś leki, które mogły wpłynąć na wynik, często wystarczy powtórzyć morfologię krwi po 2-4 tygodniach. Wiele przejściowych zmian wraca wtedy do normy.
- Konsultacja z lekarzem rodzinnym: Jeśli wynik jest znacząco poza normą, utrzymuje się w kolejnych badaniach lub, co najważniejsze, towarzyszą mu jakiekolwiek z wcześniej wymienionych objawów alarmowych (gorączka, chudnięcie, nocne poty, powiększone węzły chłonne, osłabienie), niezwłocznie umów się na wizytę u swojego lekarza rodzinnego.
-
Dalsza diagnostyka: Lekarz rodzinny, po zebraniu wywiadu i badaniu fizykalnym, może zdecydować o konieczności dalszych badań. Mogą to być:
- Szczegółowy rozmaz krwi: Ocena morfologii i dojrzałości komórek przez hematologa.
- Badania markerów stanu zapalnego: Takie jak CRP (białko C-reaktywne) czy OB (odczyn Biernackiego), które mogą potwierdzić obecność stanu zapalnego.
- Badania obrazowe: W zależności od podejrzewanej przyczyny, może być konieczne USG, RTG, tomografia komputerowa (TK) lub rezonans magnetyczny (MRI).
- Konsultacja specjalistyczna: W przypadku podejrzenia chorób hematologicznych, autoimmunologicznych czy innych schorzeń, lekarz może skierować Cię do hematologa, reumatologa, infekcjologa lub innego specjalisty.
Pamiętaj, że wczesne wykrycie i odpowiednia diagnostyka są kluczowe dla skutecznego leczenia. Nie lekceważ sygnałów wysyłanych przez Twój organizm i zawsze ufaj profesjonalnej ocenie medycznej.
